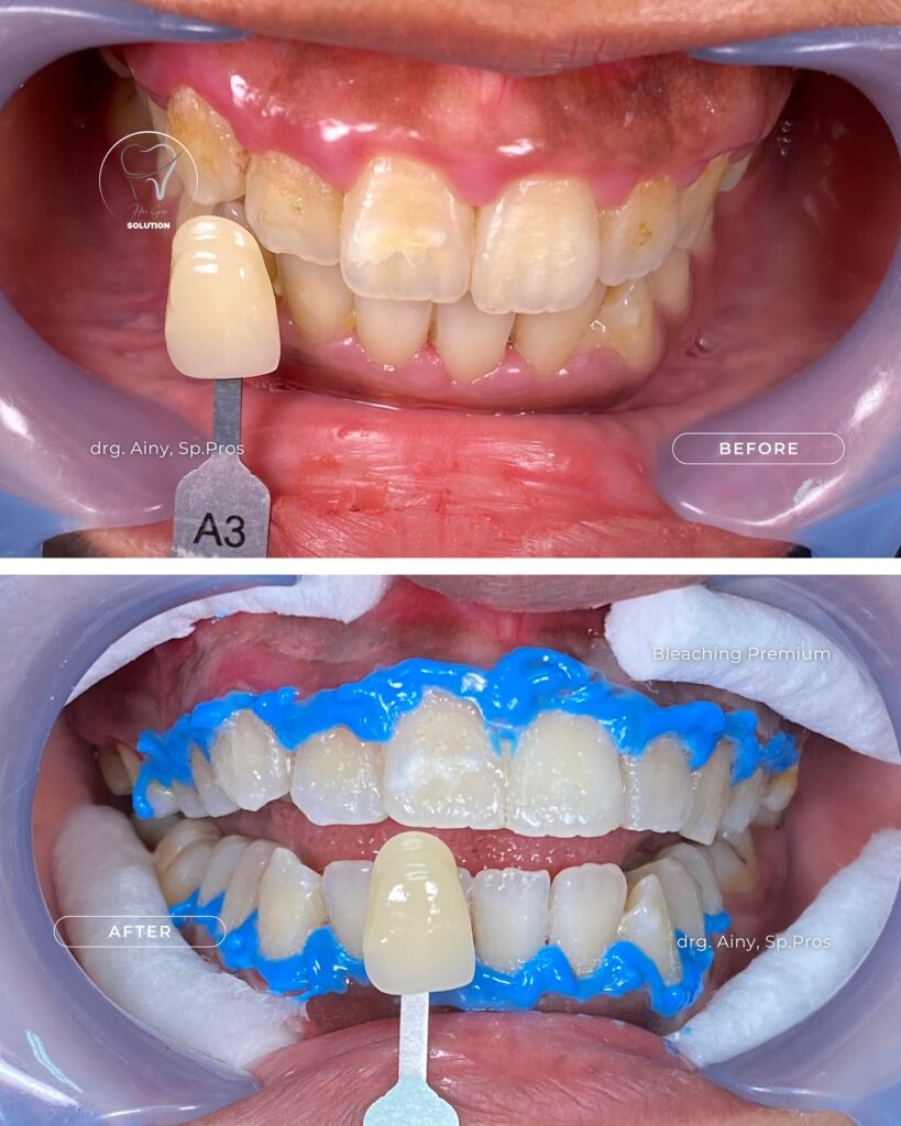
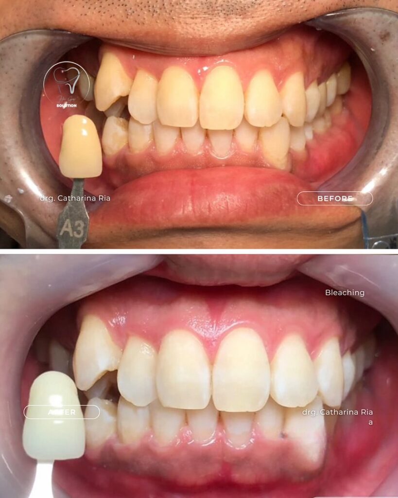
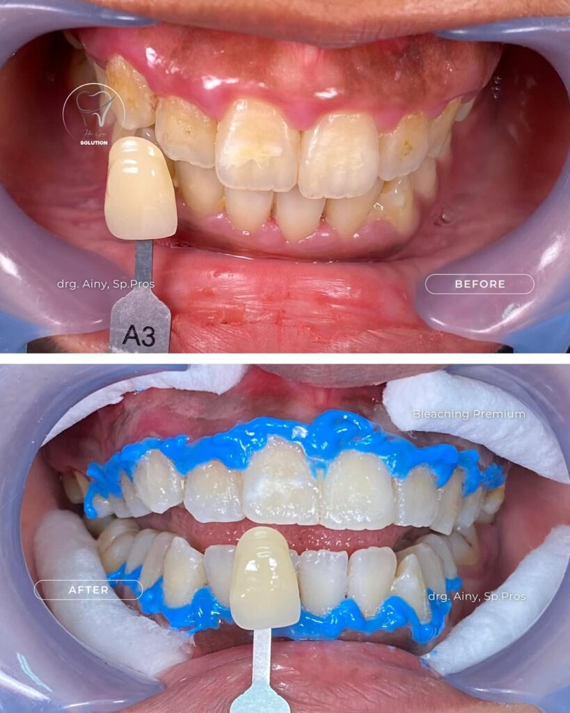
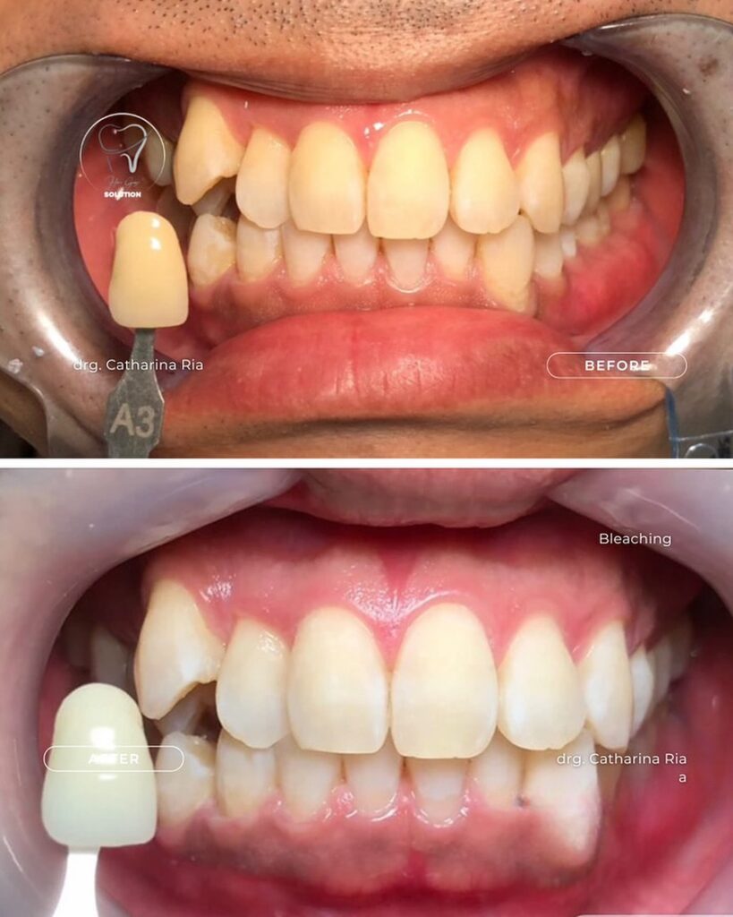
Layanan Bleaching Gigi
Prosedur estetika yang bertujuan untuk mencerahkan warna gigi dengan menghilangkan noda dan perubahan warna.
Kondisi yang Mengharuskan Bleaching Gigi
Beberapa kondisi yang mengharuskan seseorang melakukan bleaching gigi adalah:
- Gigi mengalami perubahan warna menjadi kuning atau kusam
- Ingin gigi yang lebih cerah supaya tampil percaya diri
Mengapa Perlu Bleaching Gigi di Hai Gigi?
Hai Gigi menyediakan layanan bleaching gigi dengan sejumlah keunggulan:
Konsultasi dan penanganan langsung oleh dokter gigi berpengalaman
Hasil akhir natural dan senyum terlihat alami
Menggunakan material premium yang berkualitas
Fasilitas klinik gigi yang modern, bersih, dan nyaman
Katalog Promo Bleaching Gigi
Galeri
Galeri Bleaching Gigi
Lihat lebih dekat kualitas layanan dan kehangatan tim Hai Gigi!

















Testimoni
Kata Mereka yang Puas dengan Hai Gigi
5.0
1k+ ulasan Google
Siti Hajar
Pelayanannya bagus dan ramah. Dokternya ramah dan penjelasannya mudah di pahami. Tempatnya bersih dan rapi. Ini pertama kali scaling dan dapat pelayanan yg memuaskan
Aprilia Lestari
Suka banget kesini. Pengalaman pertama di hai gigi bareng suamik dan anak Kebetulan anak aku 4 tahun giginya ada lubang kecil harus di tambal, Alhamdulillah dokternya kids friendly jadi kooperatif. Untuk anak2 juga dpt free mainan jd happy. Tempatnya bersih, dokternya baik. Staff front office pun sangat informatif.
Gita Ardani
Tempatnya bersih, pelayanannya sangat ramah dibantu mulai dari reservasi sampai selesai tindakan. Sangat menyenangkan perawatan gigi disini✨✨
Mau Bleaching Gigi di Semarang?
Kunjungi Hai Gigi Banyumanik atau Hai Gigi Premier untuk bleaching gigi dengan hasil terbaik!