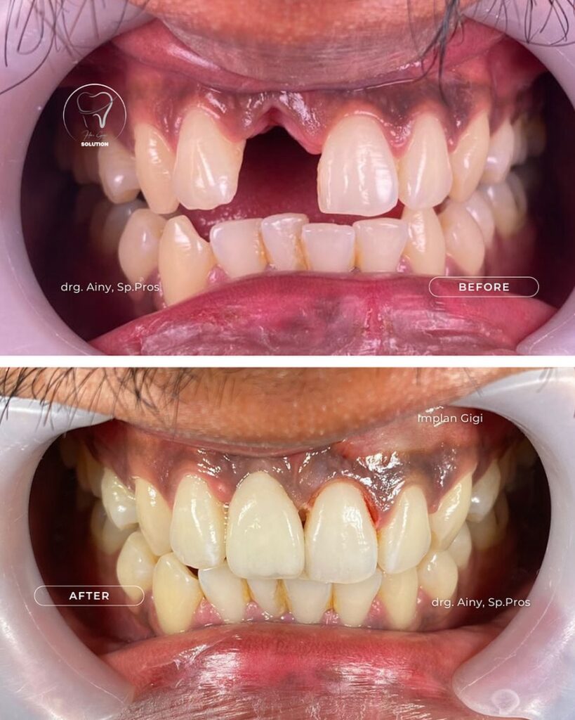
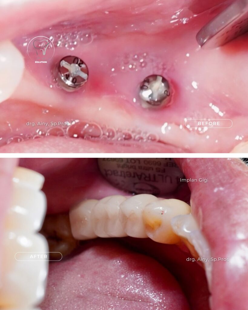
Layanan Implan Gigi
Prosedur pemasangan gigi palsu di atas sekrup titanium (crown PFM) yang berperan sebagai pengganti akar gigi yang lebih kokoh dan tahan lama.
Kondisi yang Mengharuskan Pasang Implan Gigi
Beberapa kondisi yang mengharuskan seseorang menggunakan implan gigi adalah:
- Kehilangan 1 atau lebih gigi permanen
- Gigi rusak parah atau tidak dapat diperbaiki lagi
- Tidak bisa atau tidak nyaman menggunakan gigi palsu
- Menutup implan gigi yang sudah dipasang
- Ingin memperbaiki penampilan
Mengapa Perlu Pasang Implan di Hai Gigi?
Hai Gigi menyediakan layanan pasang implan gigi dengan sejumlah keunggulan:
Konsultasi dan penanganan langsung oleh dokter gigi spesialis Prostodonti berpengalaman
Hasil akhir natural, kuat, dan nyaman seperti gigi asli
Fasilitas klinik gigi yang modern, bersih, dan nyaman
Katalog Promo Crown Gigi
Dapatkan promo spesial khusus di bulan ini!
Galeri Implan Gigi
Lihat lebih dekat kualitas layanan dan kehangatan tim Hai Gigi!





Kata Mereka yang Puas dengan Hai Gigi
5.0
1k+ ulasan Google
Siti Hajar
Pelayanannya bagus dan ramah. Dokternya ramah dan penjelasannya mudah di pahami. Tempatnya bersih dan rapi. Ini pertama kali scaling dan dapat pelayanan yg memuaskan
Aprilia Lestari
Suka banget kesini. Pengalaman pertama di hai gigi bareng suamik dan anak Kebetulan anak aku 4 tahun giginya ada lubang kecil harus di tambal, Alhamdulillah dokternya kids friendly jadi kooperatif. Untuk anak2 juga dpt free mainan jd happy. Tempatnya bersih, dokternya baik. Staff front office pun sangat informatif.
Gita Ardani
Tempatnya bersih, pelayanannya sangat ramah dibantu mulai dari reservasi sampai selesai tindakan. Sangat menyenangkan perawatan gigi disini✨✨
Mau Pasang Implan Gigi di Semarang?
Kunjungi Hai Gigi Banyumanik atau Hai Gigi Premier untuk pemasangan implan gigi dengan hasil terbaik!